Your Trusted Cosmetic Dental & Composite Filling Near You

Achieve natural-looking, durable restorations with expert care at Aspiring Smiles. Our cosmetic dental & composite filling near you in Boca Raton blends beauty, comfort, and long-lasting protection.

106 Reviews

Don't Let Dental Emergencies Disrupt Your Life

At Aspiring Smiles Aesthetic Dental Spa, we are here to provide immediate relief and comprehensive treatment for all your urgent dental needs.
106 Reviews

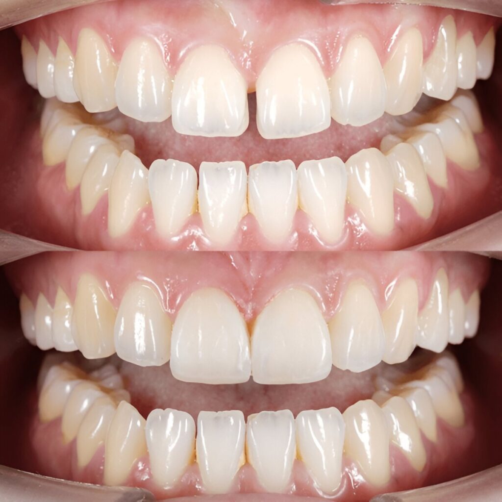
Restore Your Smile with Natural Composite Fillings in Boca Raton

Got a cavity or a chipped tooth that’s bothering you? Worry not, fixing it doesn’t have to be stressful. At Aspiring Smiles, our natural composite fillings are designed to blend in seamlessly, restore strength, and keep your smile looking beautiful

Whether you’re looking for a “composite filling near me” or a natural tooth-colored restoration in Boca Raton, Aspiring Smiles Aesthetic Dental Spa is the right place for you. Because we see composite fillings as more than just repairs; they’re a way to help you smile confidently, comfortably, and with a sense of pride.

What Are Composite (Tooth-Colored) Fillings?

Boca Raton tooth colored fillings are made of resin-based material and are used to fill in cavities or cracks as well as to repair minor damage to teeth. They’re perfect for filling cavities, repairing cracks, or restoring minor tooth damage.

Unlike conventional silver fillings, composite fillings bond directly to your tooth and provide a healthy tooth structure. That means more of your healthy tooth structure is preserved—while still giving you strength, protection, and a natural look.

Why Choose Composite Fillings for Your Boca Raton Smile?

Opting for composite filling Boca Raton comes with its fair share of benefits, among which include:

Natural appearance: Visually, tooth-colored restorations can blend perfectly with your natural smile.

Conservative treatment: Because its procedure demands less drilling, you are able to preserve more of your natural tooth.

Strong bonding: It works well with small to medium cavities in both visible and functional areas.

Durability : When taken care of properly, composite fillings can last many years.

Quick recovery : Patients can resume their normal eating habits as soon as after treatment.

Cavity prevention : Some materials contain fluoride, which helps in protecting against future decay.

With these benefits alone, Boca Raton composite fillings have quickly become a trusted choice among patients who want a long-lasting, natural-looking restoration.
composite filling
composite filling boca raton

Tooth Colored Fillings in Boca Raton: Are They a Good Option for You?

Tooth-colored fillings are a great choice if you have small-to-moderate cavities, chipped or cracked teeth, or simply prefer a metal-free restoration. They’re especially ideal for patients who value aesthetics and minimally invasive treatment. For larger cavities or more extensive damage, your dentist may recommend additional restorative options such as a root canal treatment to remove infection and preserve the natural tooth.

What to Expect During Your Cavity Treatment Boca Raton

Here are a few things to keep in mind during your cavity treatment Boca Raton:

Consultation and Exam — With digital X-rays and shade selection, you can be sure of a perfect match.

Anesthesia — Using local anesthesia helps in the procedure by making it more comfortable.

Decay Removal and Preparation — The dentist carefully removes decay as well as isolates the tooth.

Bonding and Layering — Composite resin is applied in layers and cured, forming a strong, durable bond.

Shaping and Polishing — The filling is sculpted to match your bite and polished for a smooth finish.

Aftercare and Follow-Up — Tips to maintain your new composite filling Boca Raton, including avoiding staining foods initially.

This simple procedure guarantees that the final result is both functional and attractive, whilst providing a natural appearance.

cosmetic dental fillings boca raton

Aspiring Smiles’ Expertise — Why Locals Choose Us For Cosmetic Dental Fillings in Boca Raton?

When searching for “composite filling near me”, patients trust Aspiring Smiles for both expertise and comfort for cosmetic dental fillings Boca Raton. Our experienced team uses advanced bonding techniques and precise shade-matching technology to create restorations that look completely natural. We also make patient comfort a priority, with gentle anesthesia, flexible scheduling, and even same-day repairs for minor concerns. That’s why so many residents rely on us for strong, long-lasting, and beautiful Boca Raton tooth colored fillings.

How to Keep Your Composite Fillings Looking Great for Years

A properly cared-for composite filling Boca Raton can last for 7–10 years; however, this depends on the person’s oral hygiene, location of the filling, and habits like grinding. Periodic dental checkups and proper home care can help in maintaining both the function and appearance of your Boca Raton composite fillings.

Schedule Your Composite Filling in Boca Raton Today

Looking for cosmetic dental fillings Boca Raton? Aspiring Smiles offers experience, technology, and patient-focused care to restore your teeth naturally and comfortably. Contact us today to schedule your consultation and regain your confident, healthy smile.

Frequently Asked Questions

Here you can find some helpful answers to frequently asked questions (FAQ).

What is the difference between composite filling and tooth-colored filling?

None. Tooth colored fillings Boca Raton is another term for composite fillings, highlight their natural look.

With proper care, Boca Raton composite fillings generally last 7–10 years, depending on their location and your oral hygiene.

With the help of local anesthesia, we make sure you have a comfortable procedure for your cavity treatment Boca Raton.

Absolutely, Aspiring Smiles provides convenient scheduling for routine or urgent composite filling Boca Raton treatments.

Composite fillings are durable and ideal for most cavities while offering a natural, tooth-colored appearance.

Costs vary depending on the size and location of the filling. Contact us for an accurate estimate and insurance guidance.

Request An Appointment

Please call (561)-208-1988 or use the form below to schedule your appointment.